Cosmetic Dentistry enhances the looks.
Cosmetic Dentistry is important because scientific studies have shown that successful people tend to be good looking.
Studies have also shown that good looking people tend to have good looking friends.
Whitening

 Rather than just attaching to the surface like tartar, caffeine and nicotine staining, some chemicals eg red wine, beetroot and curry, may actually penetrate deep into the surface of the teeth. This requires whitening with peroxide. This procedure can be completed as quickly as one hour if necessary.
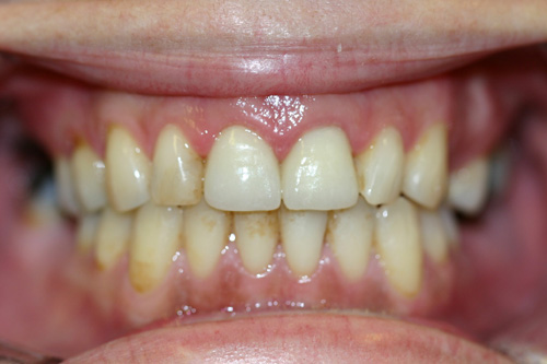
Orthodontics
 Braces start.
 Month 11
 Braces at deband [after removal]. A beautiful finish. Please click on our Orthodontic Section for more details.
Invisalign
 We are an accredited Invisalign provider, for those patients who prefer straighter teeth, without the need to wear conventional braces.
Veneers

 These are four composite resin veneers. Note the quality of workmanship. In the right hands, it is amazing what we can do with composite resin.
Ceramic Crowns

 Beautiful all porcelain crowns. No thin internal metal shell whatsoever. Many different makes and models are available, each with their individual pros and cons.
|