Orthodontics can be for both children, and adults of all ages.
It is important for parents to bring their children in for regular dental check ups from a young age. During the regular check up, we can also monitor the progress of the orthodontic alignment.
If your child is deemed to have an orthodontic problem, and warrants further investigation, then a detailed case diagnosis may be performed. This includes taking records like: Photographs Radiographs (x-rays) Plaster Moulds of Teeth. The records are used to analyse the case, and formulate a treatment plan.


The Value of Early Interceptive Treatment Often, early non-invasive interceptive orthodontic treatment can help to prevent invasive orthodontic extractions, and very invasive orthognathic surgery later in life.
Non-invasive early interceptive orthodontic treatment can include: Anti-thumb Sucking Guards Space Maintainers Headgear Reverse Headgear Functional Appliances eg Twin Block Appliances Rapid Maxillary Expansion Appliances.
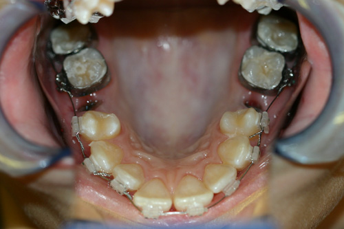
Space Maintainers
 These come in many different designs, including unilateral, or bilateral as show here. With premature loss of baby teeth, it is necessary to preserve the space available, so that in later years sufficient space remains to allow the permanent teeth to erupt - otherwise crowding may occur.
Headgear & Reverse Headgear Headgear is used in children who have a very large upper jaw, esp as a result of thumb sucking causing teeth to stick out etc.
Reverse headgear is used in children with a short upper jaw, or with an oversized lower jaw.
Do ask us for more details, and to view photographs.
Twin Block Appliances
 Twin block appliances are used to treat children who have a small lower jaw. These are removable two-piece upper and lower appliances that can only be used in young children to literally "grow" the lower jaw.
Rapid Maxillary Expansion Appliances
 These appliances come in various designs. The patient is given a pen-sized wrench to do 1/4 turn per day. This rapidly widens the upper arch.
 Before rapid maxillary expansion.
 After rapid maxillary expansion.
Non-extraction Orthodontics
 Braces start.
 Month 11
 Braces at deband [after removal]. A beautiful finish.
Interdental Stripping In certain situations, if there is crowding and a shortage of space, space can be provided by interdental stripping, where 0.25 mm of enamel can be removed from the side contact surfaces of the front teeth to provide up to 3.0 mm in space per arch.
Interdental stripping can also reduce unsightly triangular spaces in between teeth.
Extraction Orthodontics

Before

After

Before

After As a last resort, some orthodontic cases require the removal of teeth. The four (4) photographs above show before and after the removal of teeth with orthodontic treatment. A beautiful finish.
Impacted Teeth Retrieval (esp canines)

Before surgery

After surgery

After x months

Finish

After removal of braces.
The five (5) photos above illustrate the retrieval of impacted teeth. We can perform surgical exposure, with "gold chain traction" of the impacted tooth, under your choice of: local anaesthetic, nitrous oxide sedation, or general anaesthetic. We also perform orthodontic retrieval and alignment of such teeth using fixed appliances.
Both the braces, and the impacted tooth retrieval surgery are performed "in-house" for your convenience, rather than referred to another operator.
Orthodontic Implants/TAD's/Bone Screws & Plates Under certain circumstances, implants etc are used as "anchors" to assist in orthodontic treatment.
Corticotomy & Orthognathic Surgery Certain orthodontic cases, especially large discrepancies between the upper and lower jaw bones - may require minor or major surgical assistance.
Ceramic Braces Ceramic orthodontic brackets are available to give an almost invisible appearance, and are particularly popular for adults.
Invisalign
 We are an accredited Invisalign provider, for those patients who prefer straighter teeth, without the need to wear conventional braces.
|